Sublimez votre sourire avec des facettes dentaires

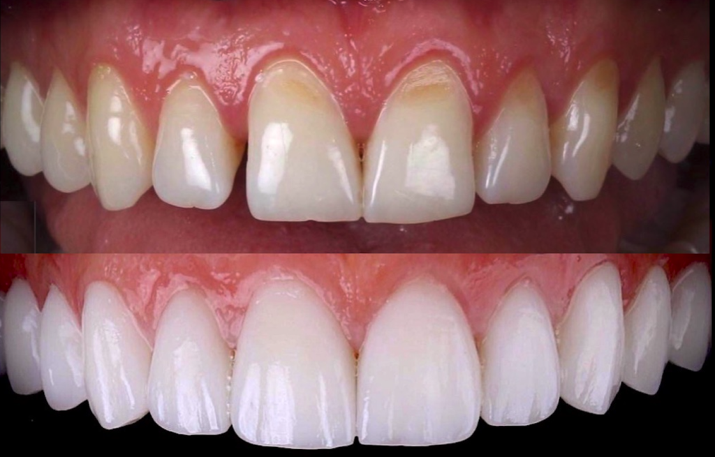
Les facettes dentaires sont de fines coquilles en porcelaine ou en composite qui recouvrent la partie visible des dents afin d’en améliorer l’apparence. Elles constituent une solution esthétique rapide et durable pour corriger diverses imperfections telles que la décoloration, l’usure, les éclats, les espaces entre les dents ou encore un léger désalignement.

Chez Soins dentaires Stephan, nous proposons des facettes sur mesure qui s’harmonisent parfaitement à votre sourire, tant en couleur qu’en forme. Que vous souhaitiez rafraîchir l’apparence d’une ou deux dents ou transformer complètement votre sourire, les facettes représentent une option hautement esthétique et personnalisable.

facettes dentaires Plateau-Mont-Royal
dentiste esthétique Plateau-Mont-Royal

Déroulement de la pose de facettes

La procédure commence par une consultation durant laquelle nous évaluons vos objectifs et votre santé bucco-dentaire. Nous discutons également du choix du matériau — porcelaine ou composite — en fonction de vos attentes, de votre budget et de la durabilité recherchée.

Pour les facettes en porcelaine, nous préparons la surface de la dent en retirant une fine couche d’émail afin d’assurer une adhérence optimale. Nous prenons ensuite des empreintes précises qui serviront à la fabrication sur mesure de vos facettes dans un laboratoire spécialisé.

Lors du second rendez-vous, nous procédons à un ajustement précis avant de fixer définitivement les facettes à l’aide d’un ciment dentaire hautement esthétique. Pour les facettes en composite, la pose peut souvent se faire en une seule séance, le matériau étant appliqué et sculpté directement sur la dent avant d’être poli pour un rendu naturel.

Les avantages des facettes dentaires

Les facettes offrent un résultat immédiat et spectaculaire. Leur finition naturelle permet de restaurer l’esthétique du sourire tout en conservant la structure dentaire existante. Les facettes en porcelaine sont particulièrement résistantes aux taches et peuvent durer plus de 15 ans avec un entretien approprié. Les facettes en composite, bien que moins durables, sont plus abordables et plus faciles à réparer ou à remplacer.

Outre l’aspect esthétique, les facettes peuvent aussi protéger légèrement la dent sous-jacente et améliorer la confiance en soi. Elles nécessitent un entretien simple : un brossage régulier, l’utilisation de la soie dentaire et des visites périodiques chez le dentiste.

facettes en composite Plateau-Mont-Royal

Prenez rendez-vous dès aujourd'hui

Offrez-vous le sourire dont vous avez toujours rêvé avec des facettes dentaires sur mesure au Plateau-Mont-Royal. Contactez Soins dentaires Stephan dès aujourd’hui pour planifier votre consultation et découvrir les options adaptées à vos besoins.