Les bienfaits du fluor

Le fluor est un minéral naturel qui joue un rôle essentiel dans la prévention des caries. Il aide à reminéraliser l’émail, à réparer les zones fragilisées et à renforcer les dents contre les attaques acides causées par les bactéries et les sucres. Le traitement de fluorure est particulièrement bénéfique pour les enfants en croissance, dont les dents sont encore en formation, mais il s’adresse aussi aux adultes présentant un risque accru de caries.

Chez Soins dentaires Stephan, nous utilisons des produits fluorés professionnels, plus concentrés que ceux des dentifrices, pour offrir une protection optimale en quelques minutes seulement.

fluorure dentaire Plateau-Mont-Royal

Déroulement d’un traitement de fluorure

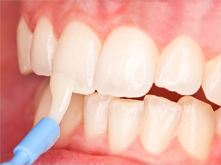
Le traitement commence par un nettoyage des dents afin de retirer toute accumulation de plaque et de tartre. Le fluor est ensuite appliqué sous forme de vernis directement sur les dents. Le produit est laissé en contact quelques minutes pour permettre à l’émail d’absorber le maximum de minéraux.

Cette procédure est rapide, indolore et totalement sécuritaire. Elle peut être réalisée lors de votre visite de routine, en complément d’un nettoyage ou d’un examen.

Prévention et fréquence

Un traitement de fluorure est recommandé une à deux fois par an pour les enfants, et selon les besoins pour les adultes. Il est particulièrement indiqué pour les personnes ayant des antécédents de caries fréquentes, une sécheresse buccale ou un régime alimentaire riche en sucres.

prévention caries Montréal.

Prenez rendez-vous dès aujourd'hui

Renforcez vos dents et prévenez les caries grâce à un traitement de fluorure au Plateau-Mont-Royal. Contactez notre clinique pour réserver votre séance préventive.